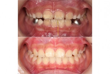
Dr. 백의선의
치아교정 전후사진
-

[치과미슐랭]
치과 구강스캔 정확도 0.1mm의 차이 | 연세바로치과 치위생사 VLOG & 투명교정의 핵심 -

[치과미슐랭]
발치 vs 비발치 교정, 뭐가 더 좋을까? 치과의사가 알려주는 기준과 선택법 -

[치과미슐랭]
치아교정, 예전엔 자동차 값이었다?! ???? 1970년대 vs 지금, 뭐가 달라졌을까 -

[치과미슐랭]
우리 아이 치아교정, 언제 시작해야 할까요? ????????✨ -

[치과미슐랭]
장두형 단두형‼️ 인종별로 선호하는 구강구조 한번에 짚어드립니다✅ -

[치과미슐랭]
부정교합으로 보험적용 군 면제까지? 오해와 루머 팩트체크 해드립니다
치아를 넘어 자신감을 완성하는
통합 치과 진료 시스템
치아를 넘어 자신감을 완성하는
통합 치과 진료 시스템
투명한 치아교정, 인비절라인
인비절라인 네트워크 퍼플 다이아몬드 등급의 노하우를
담은 연세바로 시그니처 인비절라인 프로그램
인비절라인 네트워크 퍼플 다이아몬드 등급의
노하우를 담은 연세바로 시그니처
인비절라인 프로그램
오롯이 당신만 바로 보는
의료진 소개
백의선 대표원장 / 치의학 박사
- 연세대학교 치과대학 졸업
-
연세대학교 치과대학 강남세브란스병원 인턴
연세대학교 치과대학
강남세브란스병원 인턴 -
연세대학교 치과대학 강남세브란스병원 치과교정과 레지던트
연세대학교 치과대학
강남세브란스병원 치과교정과 레지던트 -
연세대학교 치과교정학 치의학 박사
연세대학교 치과교정학
치의학 박사 -
연세대학교 치과대학 교정과 외래교수
연세대학교 치과대학
교정과 외래교수 -
대한구강보건협회 이사
대한구강보건협회 이사
조윤희 원장 / 치과보존과 전문의
-
경북대학교 치의학전문대학원 졸업 및 석사
경북대학교 치의학전문대학원
졸업 및 석사 - 경북대학교 치과병원 인턴 수료
-
경북대학교 치과병원 치과보존과 레지던트 수료
경북대학교 치과병원
치과보존과 레지던트 수료 -
경북대학교 치의학전문대학원 치과보존과 박사
경북대학교 치의학전문대학원
치과보존과 박사 -
연세대학교 치과대학 임상지도교수
연세대학교 치과대학 임상지도교수
-
대한구강악안면임플란트학회 정회원
대한구강악안면임플란트학회 정회원
이현지 원장 / 치과교정과 전문의
-
보건복지부 인증 치과교정과 전문의
보건복지부 인증 치과교정과 전문의
- 연세대학교 치의학 박사 (치과교정학)
-
서울대학교 치과대학/치의학대학원 학사, 석사 우등 졸업
서울대학교 치과대학/치의학대학원
학사, 석사 우등 졸업 -
연세대학교 강남세브란스병원 인턴 수료
연세대학교 강남세브란스병원
인턴 수료 -
연세대학교 강남세브란스병원 치과교정과 레지던트 수료
연세대학교 강남세브란스병원
치과교정과 레지던트 수료 -
대한치과교정학회 인정의
이승민 원장 / 치과교정과 전문의
- 서울대 졸업
-
보건복지부 인증 치과교정과 전문의
보건복지부 인증 치과교정과 전문의
- 부산대학교 치의학 박사 (치과교정학)
-
부산대학교 치의학 전문대학원 석사
부산대학교 치의학 전문대학원 석사
-
부산대학교 치과병원 치과교정과 레지던트 수료
부산대학교 치과병원
치과교정과 레지던트 수료 -
대한치과교정학회 정회원 및 인정의
대한치과교정학회 정회원 및 인정의
-
인비절라인 교정치료 500케이스 이상
인비절라인 교정치료
500케이스 이상 -
치과의사 대상 인비절라인 강의
치과의사 대상 인비절라인 강의
특별한 당신을 위한,
특별한 연세바로 시스템
SCI 논문 게재부터
국내외 학회 활동까지
SCI 논문 게재부터 국내외 학회 활동까지
끊임없이 연구하고 정진하며 더 나은 의료 서비스와
더 전문적인 치료를 제공합니다.
프라이빗한 진료 공간과
1:1 프리미엄 진료 서비스
프라이빗한 진료 공간과 1:1 프리미엄 진료 서비스
분리된 진료 공간, 주치의 책임 진료로
환자의 만족도와 치료의 완성도를 높입니다.
안정성과 효과를 검증 받은
술식과 정품 재료만 사용
안정성과 효과를 검증 받은 술식과 정품 재료만 사용
엄선한 재료만을 사용하며, 검증된 술식만을
권장하고, 시행하여 신뢰를 높입니다.
디지털 장비 기반의
오차 없는 최적화 진료
디지털 장비 기반의 오차 없는 최적화 진료
진단부터 진료까지, 가장 진화한 디지털 첨단
장비로 오차 없는 최적화 진료가 가능합니다
최적화된 공간,
완벽에 가까운 시스템
특별한 당신과 처음 만나는 로비
진료를 기다리는 동안 긴장을 풀 수 있도록, 안정감을 주는
화이트톤 로비에 안락한 라운지 소파를 배치했습니다.
고객 동선을 고려한 진료 공간 설계
타인과의 접촉을 최소화하고, 오롯이 의사와 환자가 1:1로
밀도 높게 만날 수 있도록 프라이빗한 진료 공간을 구성했습니다
오래 누워도 편안한 의자
치과 체어, 다 같다는 생각은 옛말. 오래 누워도 편안함을
잃지 않도록, 프리미엄 체어로 몸을 섬세하게 받쳐줍니다.
완벽하게 분리된 수술실
이제는 치과 수술도 완벽하게 독립된 공간에서 더 청결하고, 프라이빗하게
진행될 수 있도록 꼼꼼한 멸균 소독을 거친 수술 공간을 마련했습니다.
이 모든 것은 바로 당신을 위한 프리미엄
압구정 연세바로는 환자를 향한 연구, 오랜 진료
경험을 기반으로 최상의 진료 공간을 구현합니다.